Lavorazioni
Tutti i lavori che realizziamo sono frutto di anni di esperienza e aggiornamento delle tecniche di lavorazione
Protesi Mobile
Per la costruzione di protesi mobile totale si sceglie di comune accordo con l’odontoiatra il tipo di tecnica di montaggio da eseguire , si utilizzano articolatori regolabili e arco facciale per le opportune registazioni.
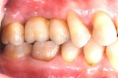
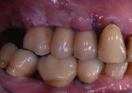
Protesi Fissa
• Ceramica Integrale
• Metallo Ceramica
• Composito su Metallo
• Protesi Fissa su Impianti
• Toronto Branemark
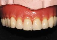
Protesi su Impianti
Quando si parla di protesi su impianti si pensa alle tecniche di metallo ceramica e/o metallo composito. Nostra particolare esperienza nell’elaborazione di corone provvisorie in resina o composito per il carico immediato.
Il Laboratorio
Eseguiamo principalmente la produzione di protesi fisse, sia su dentatura naturale che su impianti.
Utilizziamo le tradizionali tecniche di metallo ceramica, le innovative di ceramica integrale e di ceramica su zirconio.
Lo Staff
Siamo una squadra unita sia dentro che fuori l’ambiente di lavoro, questo ci permette di lavorare in maniera precisa e organizzata.
Perchè Sceglierci
Ogni membro del nostro Staff si aggiorna costantemente attraverso corsi di formazione, per affinare le proprie tecniche e per offrirti la massima competenza in ogni tipo di lavorazione.
Attraverso l’utilizzo di macchinari moderni, tecnologie all’avanguardia e con il supporto del digitale, ottimizziamo le fasi di lavorazione e i tempi di consegna.
Oltre 27 anni di esperienza ci hanno permesso di accrescere notevolmente la qualità delle nostre lavorazioni e di collaborare con varie aziende e professionisti.
Via VIII Marzo 49, 50018, Scandicci (Fi)
055 9060920
Telefono e Fax
338 8388830
Cellulare
info@borgimauro.it
Indirizzo Email







